Smile with
Confidence.
Experience premium dental care in Kadapa. Minimalist care, advanced technology, and a calming environment designed for your comfort.
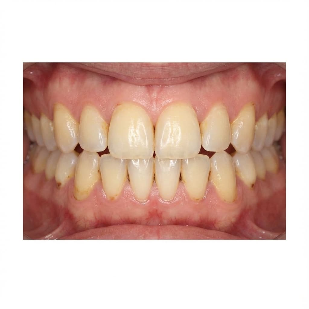
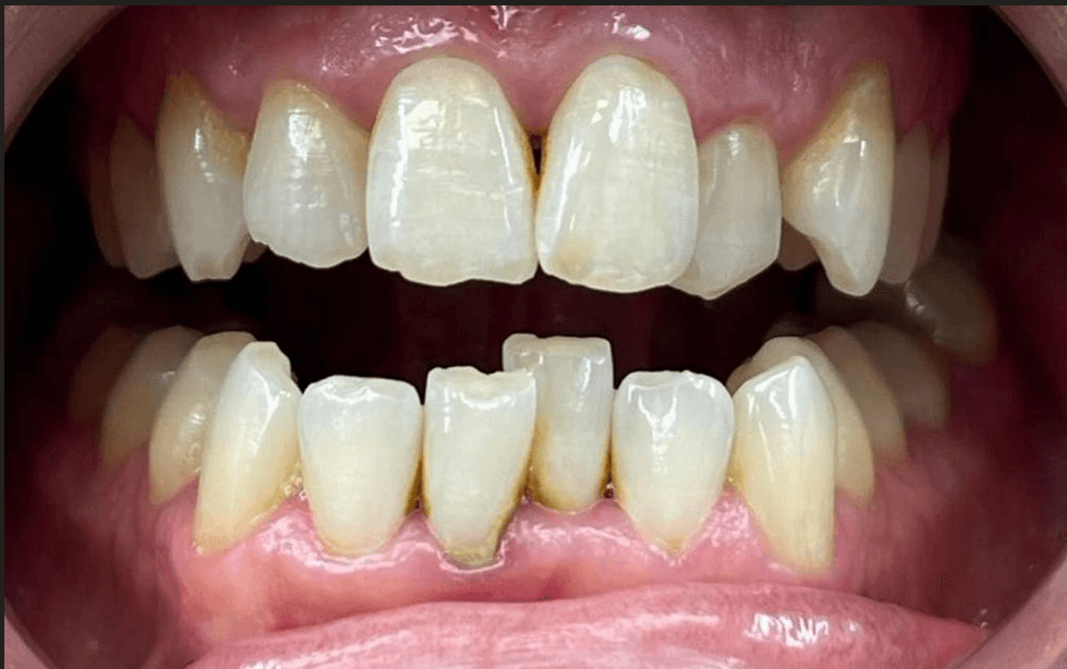
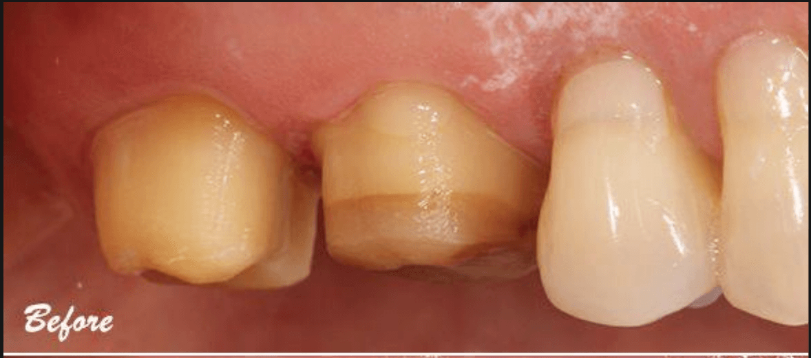
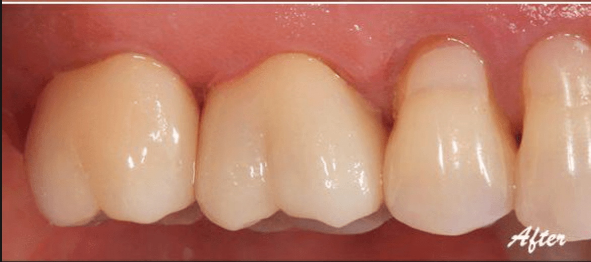
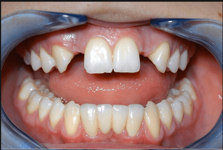
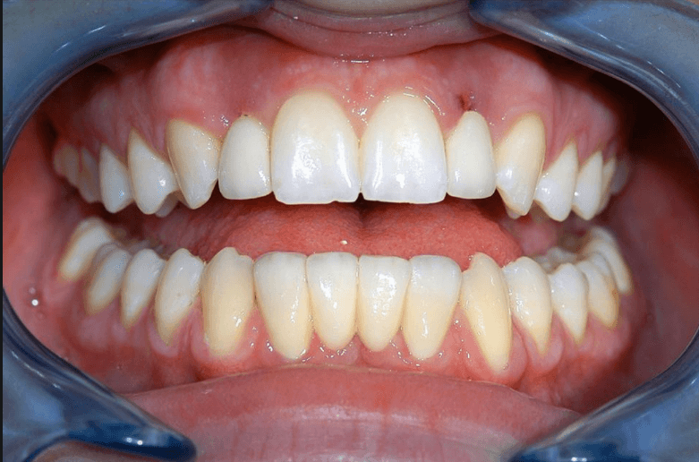
Real Results, Real Smiles
See the transformative power of our dental treatments


Teeth Whitening
Professional whitening for a brighter, more confident smile


Orthodontics
Achieve perfectly aligned teeth with our advanced orthodontic solutions


Dental Veneers
Transform your smile with custom-crafted porcelain veneers


Dental Crowns
Restore damaged teeth with durable, natural-looking crowns


Dental Implants
Replace missing teeth with permanent, life-like implants
Our Services
We do all services related to dental. Expert care tailored to your unique needs.

Cosmetic Dentistry
Transform your smile with teeth whitening, veneers, and complete smile makeovers designed to boost your confidence.

Dental Veneers
Premium porcelain veneers for a flawless, natural-looking smile that lasts for years.

Invisible Aligners
Discreet clear aligners for straightening teeth without the look of traditional braces.

Damon System
Self-ligating braces technology for faster treatment, fewer appointments, and greater comfort.

Zirconia Crowns
High-strength, natural-looking zirconia ceramic crowns for durable and aesthetic tooth restoration.

Root Canal Treatment
Advanced endodontic care to save infected teeth and relieve pain with precision and comfort.

Bridges
Restore your smile and bite function with custom-fitted dental bridges that seamlessly replace missing teeth.

Smile Designing
A comprehensive cosmetic approach to plan and create your perfect smile using advanced digital technology.

Dental Implants
Permanent, natural-looking solution for replacing missing teeth, restoring both function and aesthetics.

Laser Treatment
Advanced laser technology for painless soft tissue procedures, gum reshaping, and precise treatment.
Our Space
Designed for tranquility. A modern sanctuary where dental care meets comfort.



